

In der Vergangenheit haben Zahnärzte Einzelzahnlücken meist durch Brücken geschlossen. Das dabei unabdingbare starke Beschleifen der Nachbarzähne ist vor allem bei gesunden, kariesfreien Zähnen bedenklich. Die Folge ist manchmal ein Absterben der Zahnpulpa (Nerv), was dann eine Wurzelbehandlung nach sich zieht. Auch führen die Kronenränder nicht selten zum Rückgang des Zahnfleischrandes mit unästhetischen Resultaten.
Ein Einzelzahnimplantat ersetzt den fehlenden Zahn durch ein Implantat, das an die Stelle der verloren gegangenen Zahnwurzel kommt. Während der Einheilphase von meist wenigen Wochen bleibt das Implantat unbelastet unter der Schleimhaut. Der Patient trägt während dieser Zeit einen provisorischen Zahnersatz, der herausnehmbar oder festsitzend (z. B. Klebebrücke) sein kann. Nach der Freilegung des Implantats und Abdrucknahme wird dann die im Labor hergestellte Krone auf dem Implantat befestigt.
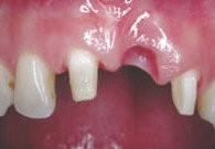
Früher die Regel
Ein fehlender Frontzahn wird nach Beschleifen der Nachbarzähne durch Einsetzen einer Brücke ersetzt.



Das Röntgenbild mit dem Implantat und der provisorischen Klebebrücke.

Der auf dem Implantat verschraubte Abdruckpfosten.

Die eingesetzte Implantatkrone – ein Abschleifen der Nachbarzähne entfällt.
Weitere Informationen zur Implantologie und Einzelimplantaten finden Sie auch in folgendem PDF von Zahnarzt Dr. Rüffert – Zahnarztpraxis in Braunschweig.