

Der Verlust aller eigenen Zähne bedeutete bislang unausweichlich das Tragen einer Vollprothese mit allen damit verbundenen Folgen. Häufig schlechter Prothesenhalt v. a. im Unterkiefer und verminderte Kauleistung, Geschmacksbeeinträchtigung, manchmal Würgereiz oder gestörte Aussprache. Außerdem bewirkt die Druckbelastung der Prothese einen beschleunigten Rückgang des Kieferknochens und damit eine weitere Verschlechterung des Prothesensitzes. Schlecht sitzende Prothesen stützen die Gesichtsweichteile, vor allem die Lippen, schlecht ab. Das hat zur Folge, dass Patienten älter aussehen und begünstigt die Faltenbildung der eingefallenen Hautpartien. Mit Implantaten ist es nun möglich, diesen Teufelskreis zu durchbrechen. Bereits mit 2 bis 4 Implantaten und darauf montierten Druckknöpfen oder anderen Halteelementen bekommt die Prothese einen stabilen Halt.
Mit aufwendigeren Konstruktionen (6 bis 8 Implantate pro Kiefer) ist eine herausnehmbare Prothese oft ganz verzicht- und stattdessen eine festsitzende Brücke realisierbar. Überdies sind Implantate knochenerhaltend: Auch unter Kaubelastung kommt es nicht mehr zum gefürchteten Knochenschwund. Die gute Lippenabstützung sorgt für ein harmonisches Gesichtsprofil und straffe Haut.
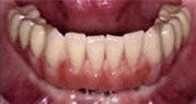
6 Implantate im zahnlosen Unterkiefer und Versorgung mit festsitzender Brücke



Weitere Informationen zur Implantologie sowie zur Implantatversorgung im zahnlosen Kiefer finden Sie auch in folgendem PDF von Zahnarzt Dr. Rüffert – Zahnarztpraxis in Braunschweig.