Bleaching

Bleaching Braunschweig

Es gibt viele unterschiedliche Faktoren, die Zahnverfärbung beeinflussen. Bleaching ist effiziente und bewährte Methode der Aufhellung. Nicht ohne Grund erfreut sich diese Behandlung recht großer Beliebtheit. In der Praxis von Dr. med. dent. Rüffert aus Braunschweig zählt die Zahnaufhellung zu den regelmäßig gewünschten Behandlungen. Schönes Lächeln durch professionelles Bleaching!

Wie kommen Zahnverfärbungen zustande?

Zahnverfärbungen können unterschiedliche Gründe haben:

  • Angeborene Schmelzschäden
  • Einnahme bestimmter Antibiotika (Tetracycline) in der Zahnentwicklungsphase
  • Zahnfluorose durch Überdosierung von Fluoriden
  • Tote Zahnpulpa oder Wurzelbehandlungen
  • Pigmentierung durch Nahrungs- und Genussmittel, z. B. Tee, Kaffee, Rotwein, Tabakrauch etc.
  • Alter: Generell steigt die Zahnverfärbung mit zunehmendem Alter. Es gibt aber auch einen individuellen, angeborenen Farbton, der von Mensch zu Mensch stark variiert.
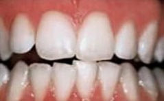
Zähne vor einem Bleaching
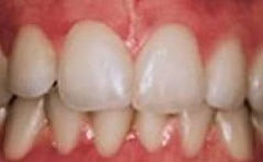
Zähne nach einem Bleaching

Verschiedene Arten des Zahnbleichens

Bei den heute angebotenen Bleichverfahren unterscheidet man:

  • Das externe Bleaching (äußeres Bleichen) von vitalen Zähnen
  • Das interne Bleaching (Bleichung von innen) von wurzeltoten Zähnen
  • Vitale (lebende) Zähne lassen sich durch äußere Bleichung (External Bleaching) aufhellen. Man unterscheidet hier zwei Methoden:
    1. Schnellbleichung (Power-Bleaching, In-Office-Bleaching) in der Zahnarztpraxis
    2. Home-Bleaching, das der Patient selbst zu Hause vornehmen kann. Beim Home-Bleaching trägt der Patient während mehrerer Wochen nachts mit einem Bleichgel gefüllte durchsichtige Zahnschienen, die der Zahnarzt zuvor nach einem Abdruck herstellt.
Einzelner dunkler Zahn nach Wurzelbehandlung
Dunklen Zahn durch Bleaching behandelt

Homebleaching-Methode ohne Zahnarzt

Das heimisch durchgeführte Bleaching dauert mehrere Wochen. Viele Patienten finden dieses deswegen und auch wegen häufiger Probleme mit überempfindlichen Zahnhälsen mühsam. Außerdem liefert Homebleaching nicht immer die gewünschten Resultate. Daher entscheiden sich viele Patienten für das effektive und schonende In-Office-Bleaching beim Zahnarzt. Das liefert häufig in nur 60 Minuten Behandlungsdauer sehr gute Ergebnisse.

In-Office-Bleaching

Zunächst reinigt der Zahnarzt bzw. die Dentalhygienikern die Zähne professionell. Das Zahnfleisch deckt der Arzt dann mit einem Schutzlack ab. Danach trägt er das mit Licht aktivierbare Bleaching-Gel gleichmäßig auf die Vorderflächen der Zähne auf und bestrahlt diese dann mit einer speziellen Lampe 15 bis 20 Minuten lang. Durch die besondere Art der Strahlenquelle wird dabei praktisch keine störende Wärme frei. Diese Prozedur wiederholt der Zahnarzt noch ein- bis zweimal jeweils mit frischem Bleichgel, sodass die Gesamtbehandlungszeit 60 Minuten beträgt.

Nach der Behandlung entfernt Dr. Rüffert aus Braunschweig den Zahnfleischschutz und spült das verbliebene Bleichgel ab. Anschließend versiegelt er die Zähne mit einem Lack.

Das Bleichgel enthält 38 % Carbamidperoxid. Dieser Wirkstoff hat sich seit über 20 Jahren bei der Zahnaufhellung bewährt. Es setzt Wasserstoffperoxid frei, das in den Zahn eindringt und die Farbpigmente durch Oxidation in farblose Verbindungen aufspaltet.

Wie lange hält die Zahnaufhellung an?

Normalerweise hält der Bleicheffekt 1 bis 3 Jahre an, je nach Ernährungsgewohnheiten. Danach kann Dr. Rüffert das Bleaching ohne Probleme wiederholen.

Bleaching bei wurzeltoten und -behandelten Zähnen

Wurzeltote und -behandelte Zähne haben die Tendenz zur Verfärbung. Sie nehmen nach einiger Zeit durch Abbauprodukte der Pulpa eine dunkle (bräunliche) Farbe an. Das führt gerade im Frontzahnbereich zu ästhetischen Beeinträchtigungen. Abhilfe schafft hier ein inneres Bleaching. Es erfolgt durch Öffnen des toten Zahnes (von hinten, daher nicht sichtbar) und Einbringen eines speziellen Bleichmittels.

Danach verschließt Zahnarzt Dr. Rüffert aus Braunschweig die Öffnung mit einer provisorischen Füllung. Diese Prozedur dauert etwa 10 Minuten und lässt sich bei Bedarf nach 1 bis 2 Tagen wiederholen, bis die gewünschte Farbaufhellung eingetreten ist.

Der Bleicheffekt hält jahrelang an und macht eine Zahnüberkronung oft überflüssig.

Professionelle Zahnreinigung als Alternative

Die professionelle Zahnreinigung ist eine weitere Behandlung im Bereich der ästhetischen Zahnmedizin, die die Zahnarztpraxis von Dr. Rüffert aus Braunschweig anbietet. Auch diese intensive Reinigung erlaubt eine effiziente Behandlung verfärbter Zähne. Ein weiterer Vorteil dieser Reinigung ist, dass Sie nicht nur strahlendes Lächeln durch weiße Zähne haben, sondern auch gesunde Zähne. Die professionelle Zahnreinigung stellt gleichzeitig einen wichtigen Beitrag zur Prophylaxe dar!

Weitere Informationen zur ästhetischen Zahnheilkunde und dem Zahnbleichen / Bleaching finden Sie auch in folgendem PDF von Zahnarzt Dr. Rüffert – Praxis in Braunschweig.

PDF – Ästhetische Zahnheilkunde